Hip Clicking in Dancers: Causes, Treatments, and Prevention
- Julie Wright
- Jun 11, 2024
- 3 min read
Updated: Jun 14, 2024

One common issue that plagues many dancers is hip clicking – an audible or palpable click or pop that occurs during movement. In this blog post, we delve into the world of hip clicking in dancers, exploring its causes, treatments, and prevention strategies.
Understanding Hip Clicking
Hip clicking, also known as snapping hip syndrome, is a phenomenon where the hip joint produces a clicking or popping sound during movement. This can happen when the muscles or tendons around the hip joint move over bony structures or each other. In dancers, who subject their hips to repetitive and often extreme movements such as developés, hip clicking can be particularly prevalent.
Causes of Hip Clicking in Dancers:
There are a number of reasons why a hip might be clicking. Below are a few causes. It is important to seek medical advise to determine the cause.
1.Tight Hip Flexors and IT Bands: Dancers frequently engage in movements that involve extreme hip flexion and extension, leading to tightness in the hip flexors and iliotibial (IT) bands. This tightness can cause friction and snapping sensations as these structures move over the hip joint.
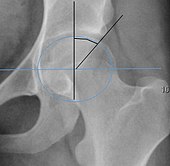
2. Labral Tears: The labrum is a ring of cartilage that surrounds the hip socket, providing stability to the joint. Overuse or trauma can lead to labral tears, resulting in clicking sensations during movement.
3. Impingement: Hip impingement, also known as femoroacetabular impingement (FAI), occurs when there is abnormal contact between the ball and socket of the hip joint. This can cause clicking, especially during movements that involve deep hip flexion.
4. Muscle Imbalances: Muscle imbalances, particularly between the hip flexors and abductors (e.g. TFL), can contribute to abnormal movement patterns and hip clicking in dancers.
Hip flexor Muscles 2. Labral Tear 3. Impingement 4. Muscles around the hip
Images courtesy of: 1. www.kenhub.com 2. https://commons.wikimedia.org/wiki/File:Labral_tear_2.svg 3.https://en.wikipedia.org/wiki/Femoroacetabular_impingement 4. https://commons.wikimedia.org/wiki/File:Anterior_Hip_Muscles_2.PNG
Treatment Options:
IMPORTANT: If hip clicking becomes painful, dancers should seek the advice of a medical professional such as a physiotherapist. If not painful:

Stretching and Strengthening: Targeted stretching and strengthening exercises can improve flexibility and muscle balance around the hip joint. It is important to get these exercises from a professional such as an Exercise Physiologist or Physiotherapist.
Physical Therapy: A Physiotherapist or Myotherapist can provide specific exercises and manual techniques to address muscle imbalances and improve hip mechanics.
Medical Interventions: In severe cases, medical interventions such as corticosteroid injections or surgery may be necessary to address underlying issues such as labral tears or impingement. (As general advice: surgery should only be considered when all other options are exhausted. Ensure you seek medical advice from a dance specific professional where possible)
Prevention Strategies:
Cross-Training: Incorporating cross-training activities such as swimming or Pilates can help diversify movement patterns and reduce overuse injuries in dancers.
Proper Technique: Emphasizing proper technique and alignment during dance practice can reduce strain on the hips and lower the risk of injury. Check with your dance teacher or dance medicine specialist that you are performing your movements correctly.
Warm-up and Cool Down: Prioritizing dynamic warm-up exercises and gentle stretching during cool down can prepare the body for movement and promote flexibility. Are you doing a proper warm up? Check the blog post HERE for more information on effective warm ups.
Listen to Your Body: Dancers should pay attention to any early signs of discomfort or clicking in the hips and address them promptly to prevent worsening of symptoms. Always seek medical advice early on rather than waiting until it becomes a bigger problem.
Conclusion:
Hip clicking is a common yet often misunderstood issue that affects many dancers. By understanding the causes, treatments, and prevention strategies outlined in this post, dancers can take proactive steps to manage hip clicking, optimise their performance, and minimize the risk of injury. Remember, a healthy and well-functioning hip is essential for dancers to express themselves fully and enjoy dancing for years to come.
Want to know more or do you have a clicking hip? Book an assessment now at www.dancewright.com.au and work through your clicking hip problem with an accredited exercise physiologist today.
References:
Yen YM, Lewis CL, Kim YJ. Understanding and Treating the Snapping Hip. Sports Med Arthrosc Rev. 2015 Dec;23(4):194-9. doi: 10.1097/JSA.0000000000000095. PMID: 26524554; PMCID: PMC4961351. https://www.ncbi.nlm.nih.gov/pmc/articles/PMC4961351/








Comments